在人们的日常生活中,随着年龄的增长,皮肤裸露部位常常出现咖色或深褐色斑点,或平或稍隆起,俗称“老年斑”。在临床上常被称之为“脂溢性角化病”,它虽对人体没有什么影响,却影响美观。那么“老年斑”究竟是什么呢?
从病理的角度观察,“老年斑”不只是“脂溢性角化病”,它分为两种情况。
第一种为日光性雀斑样痣,或称为“老年性雀斑样痣”。但是它既不是雀斑也不是痣。患者多>50岁,好发于曝光部位,如面部、前臂伸侧,尤其是手背,表现为多发的暗褐色不规则斑疹,不高出于皮肤表面。

病理显微镜下表现为表皮突杵状或弯曲状下延,可网状吻合,表皮突间表皮萎缩,基底层黑色素细胞可不增多,但色素增加,真皮浅层可出现嗜碱性变。

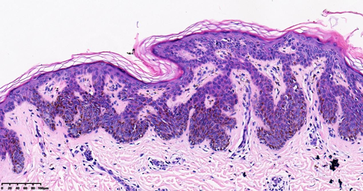
第二种为脂溢性角化病,俗称“老年疣”。虽然他称之为“老年疣”,但可以发生于任何年龄,只是多发于老年人,可见于头面部、胸背部等,尤以颞部及颊部为著,为扁平结节,多单发,常呈浅棕色或棕褐色,表面粗糙,覆油脂性鳞屑或结痂。

病理显微镜下表现为分化好的基底细胞呈疣状、乳头状或结节状增生,并位于表皮水平面以上,棘层肥厚、角化过度,常有角质囊肿形成,增生的表皮中可有较多色素。

所以“老年斑”不仅发生于老年,日光性雀斑样痣主要与长期慢性日晒有关,发生于年轻人时,称之为“晒斑”更为贴切。一部分日光性雀斑样痣可转化为脂溢性角化病。两者均为良性病变,极少恶变。但也要注意,斑块是否在短时间内突然变大、颜色加深、边缘不整齐等等,如有上述情况,建议就医。如果一些老年人在短期内突然出现多发性脂溢性角化病,有伴发内脏恶性肿瘤的风险,建议尽快就诊。
作者

李秀君
唐山市工人医院病理科
公安机关备案号: 13020002152308